journal club

전립선암의 효과적인 Biomarker, GOLPH2

기존 전립선암 marker 인 AMACR 과의 비교 분석을 중심으로

2024.04.01 | 조회 578 |
0
|
Bi.markey의 프로필 이미지

Bi.markey

밝히자, 바이오 세상

📜오늘 우리가 살펴볼 논문은?

  •  Kristiansen, G., Fritzsche, F. R., Wassermann, K., Jäger, C., Tölls, A., Lein, M., Stephan, C., Jung, K., Pilarsky, C., Dietel, M., & Moch, H. (2008). GOLPH2 protein expression as a novel tissue biomarker for prostate cancer: implications for tissue-based diagnostics. British journal of cancer, 99(6), 939–948.

논문 바로가기⤴️

 


✉️ 이번 논문의 주요 메시지

최근 몇몇 연구에서 전립선암 (prostate cancer) 에서 GOLPH2 이 상향 발현됨을 보고⤴️한 바 있는데, 

이번 연구에서는 양성 및 악성 전립선 종양에서 GOLPH2 단백질의 발현을 전반적으로 분석했어요 

 


🔠 논문을 읽기 전에 갖춰야 할 기본 지식

본격적인 리뷰에 앞서, 논문에서 자주 등장하는 몇 가지 개념들을 살펴볼 거에요!

1️⃣ AMACR (ɑ-methyl-Co-racemase) prostate cancer marker

: 기존에 사용되던 전립선암의 biomarker 로서, 전립선 조직에서 AMACR 이 발견되면, 악성 종양으로 진단합니다

2️⃣ basal cell marker p63

: 기저 세포를 만드는 단백질인 p63 이 기저층 (표피의 최하층) 에서 발견되지 않으면, 악성 종양으로 진단합니다

❗이때, AMACR 과 p63 은 진단 시 "함께" 이용되는데요❗

이는 이 2개의 marker 를 얻기 위해서 사용하는 생검법인 침생검법 (needle biopsy) 와 관련이 있어요

출처: https://www.laplataurology.com/prostatebiopsy.html
출처: https://www.laplataurology.com/prostatebiopsy.html

침생검법은 말 그대로 침(needle) 을 전립선에 천자(puncture)하여, 조직편을 얻는 방법이에요.

그러나 이 방법으로는 얻을 수 있는 조직이 제한적이므로, AMACR 만 단독으로 사용하기 보다는, p63 을 이용하여 전립선 조직에서 악성 상피 종양이 나타나는 부분을 먼저 찾은 뒤, 그 부분만 특이적으로 검사할 수 있게 하는 거죠

한마디로, 백지장도 맞들면 낫다, 이런 뜻입니다 :)

 

3️⃣ GOLPH2

: 비교적 새롭게 제안된 전립선암의 marker 로, 골지체 막단백질의 일종이에요

참고로, 골지체는 세포 소기관으로, 이렇게 생겼답니다⬇️ (많이 본 적이 있을 거에요.. 꽤나 인상깊게 생겼거든요)

출처: https://terms.naver.com/entry.naver?docId=5144877&cid=61232&categoryId=61232
출처: https://terms.naver.com/entry.naver?docId=5144877&cid=61232&categoryId=61232

 


🔬주요 실험 방법

골지체 막단백질인 GOLPH2 가 전립선 조직에서 발현되는 걸 어떻게 확인할 수 있었을까요?

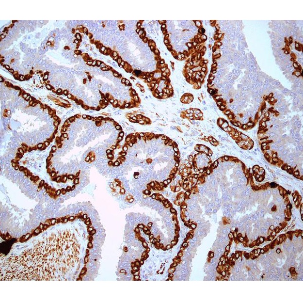
이번 연구에서는, Immunohistochemistry (IHC) 조직염색법 을 이용했어요

 

🧐 IHC 가 뭐야?

출처: https://cancerquest.org/patients/detection-and-diagnosis/immunohistochemistry-ihc
출처: https://cancerquest.org/patients/detection-and-diagnosis/immunohistochemistry-ihc

IHC 는 검사하고자 하는 조직 (본 연구에서는 전립선) 에서 원하는 단백질 (본 연구에서는 GOLPH2) 의 발현 정도를 알 수 있는 염색법이에요.

염색된 강도에 따라,

0 (negative), 1+(약한 발현), 2++(중간 발현), 3+++ (강한 발현) 으로 점수를 매겨, 단백질의 발현 정도를 평가하는 방법이라고 할 수 있어요.

이 분석법을 이용해 단백질의 발현 정도를 파악함으로써, 연구자들은 종양을 분류하고 이에 따라 질병을 진단할 수 있답니다. (예시: benign/malignant, stage, grade, cell type 등)

 


📊 실험 결과

실험 결과를 하나씩 살펴보고, 이 결과가 의미하는 바가 무엇인지 설명해드릴게요😎

 

  • 결과1️⃣ GOLPH2 mRNA expression in prostate cancer

연구자들은 우선 GOLPH2 단백질을 만드는 데 필요한 GOLPH2 mRNA 의 발현 양상부터 살펴봤어요

그 결과, 정상(양성) 전립선에 비해 전립선암 조직에서 GOLPH2 mRNAFC=2.7 로, 과발현되는 것이 확인되었어요.

📍FC (Fold Change) : 기준 값을 1.0 으로 간주했을 때, 수치가 몇 배 더 크게 나타났는지를 나타내는 지표. 위 결과에 적용해 보면, 정상 전립선에서의 발현 정도를 1.0 으로 간주했을 때, 전립선암 조직에서 2.7배 더 많이 발현되었음을 의미하는 거죠!

 

  • 결과2️⃣ GOLPH2 protein expression in normal and neoplastic human tissues

이후에는 GOLPH2 단백질이 정상 조직과 종양성 조직에서 얼마나 발현됐는지를 측정해봤어요. 

우선 GOLPH2 단백질이 전립선 뿐만 아니라, 난소나 신장 등 다른 기관의 여러 조직에서도 발현되는 걸 확인했고,

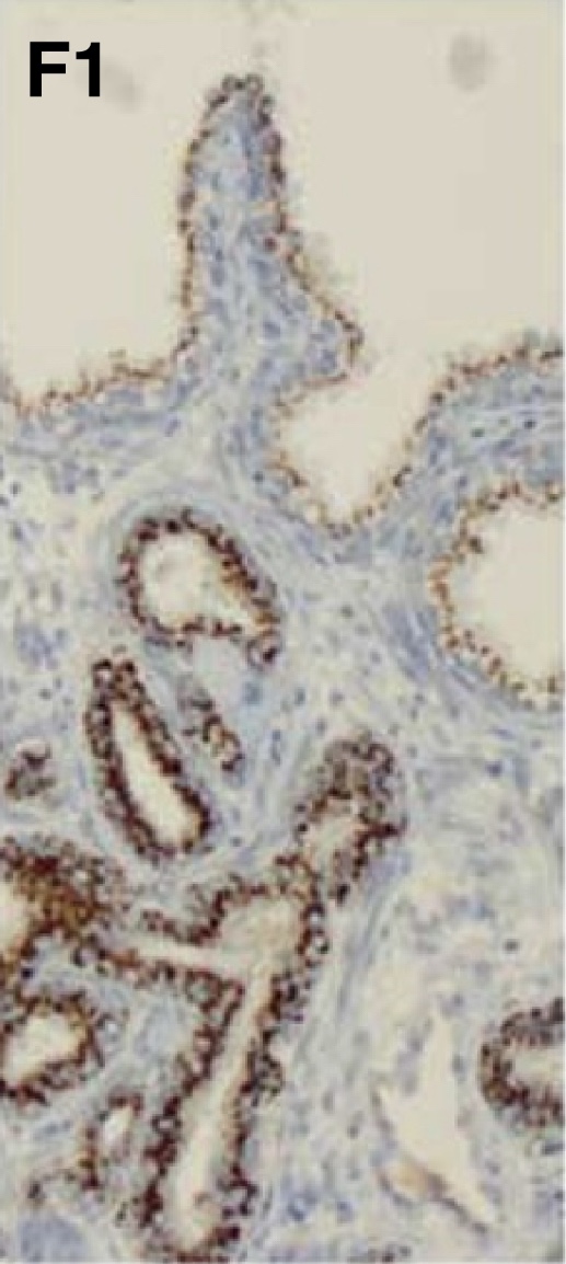
그 중에서도 전립선, 특히 전립선 악성 종양 조직에서 가장 강하게 발현되는 걸 IHC 분석⬇️을 통해 확인할 수 있었답니다.

선정 논문의 Figure 2-F1
선정 논문의 Figure 2-F1

(위쪽이 정상 전립선, 아래쪽이 악성 전립선 부분이에요)

 

  • 결과3️⃣ GOLPH2 immunostaining in prostate tissues

이제는 전립선 조직만 집중적으로 살펴볼 건데, 그 전에 알아둬야 하는 개념이 있어요. 이번에는 전립선 조직을 양성과 악성, 2개로만 나눈 게 아니라 좀 더 세부적으로 나눠서 살펴봤는데요

1번 조직) normal gland : 정상

2번 조직) hyperplastic gland: 세포 수가 비정상적으로 증식

3번 조직) Prostatic Intraepithelial Neoplasia: 세포 수가 비정상적으로 증식하며, 핵 변화도 관찰됨

4번 조직) Carcinoma: 상피세포에서 발생하는 악성 종양

이렇게 네 종류의 조직에서 GOLPH2 단백질이 어떻게 발현되는지를 살펴봤어요.

✅ 그 결과, 우선 1,2,3번 조직끼리 비교했을 때는 1<2<3 순으로 단백질이 강하게 발현됐어요.

✅ 그리고 4번(carcinoma) 조직은 다시 GS (Gleason Score)에 따라 세 개 부분으로 나누어 비교했는데요 ! (GS=6, GS=6, GS=7) GS 가 높을수록, GOLPH2 발현량도 컸습니다. 즉, 악성 종양일수록 GOLPH2 가 상향 발현된다는 뜻이죠.

📍GS (Gleason Score) 

글리슨 점수는, 전립선암 조직의 악성도를 현미경으로 보이는 양상에 따라 2~10 점으로 점수를 부여하는 지표로, 점수가 높을수록 검사 조직과 정상 조직 간 유사성이 낮아, 암이 확산할 가능성이 높음을 의미합니다.

 

  • 결과4️⃣ GOLPH2 histopathology and survival

다만, 지금까지의 연구에서 GOLPH2 는 아래 4가지 지표와는 유의미한 상관관계를 갖고 있지 않다고 해요.

1) pT stage : 종양의 크기나 확산 정도를 나타내는 지표

2) Differentiation grade (분화도) : 암세포를 정상 세포와 비교했을 때 얼마나 유사한 지를 나타내는 지표 

3) 수술 전 PSA 수치: 전립선에서 생산되는 단백질인 PSA 의 수치

4) free-disease survival (무 질병 생존율): 암 치료 이후, 환자가 암 재발 없이 생존하는 기간

근데 뭔가 이상하지 않나요...?🤨 위 4가지 지표 모두 전립선암을 진단하는 지표들인데, GOLPH2 와 상관관계가 없다니...😕

이는, 아직 GOLPH2 가 전립선암의 Biomarker 로서 사용되기에는 아직 그 연관성이 밝혀지지 않은 부분이 많으므로, 앞으로도 이 단백질과 관련된 더 많은 연구가 진행되어야 함을 시사합니다.

 

  • 결과5️⃣ GOLPH2 as a potential tool for prostate cancer diagnosis

이번에는 기존에 사용되던 전립선암 marker 인 AMACR 과 새로 제안된 GOLPH2 단백질을 비교 분석해보려고 해요.

이때, 'tumoral > normal' ration ('종양>정상' 비율) 값을 이용했는데요!

📍 이는 이분법적 비율 계산법으로, 연구 대상자가 두 개의 상호 배타적인 상태 중에 한 곳에 해당한다고 할 때, 어느 쪽에 더 많은 케이스가 속해있는지를 보여주는 지표에요. 종양에서 GOLPH2 단백질이 과발현될수록, 비율=1 에 가깝겠죠 ?

➡️ '종양>정상' 비율을 살펴본 결과, 여러 조직에서 AMACR, GOLPH2 의 발현 강도는 그리 큰 상관 관계를 보이지 않았어요. 어느 조직에서는 GOLPH2 가 과발현되었고, 또 다른 조직에서는 AMACR 이 과발현되었죠. 둘이 동시에 과발현 되거나, 발현 정도가 조금 차이 나는 케이스도 있는 등 다양한 분포를 보였답니다. 

➡️ 종양 내 이질성 검사에서는, AMACR 은 45%, GOLPH2 는 25% 라는 결과가 나왔어요.

📍종양 내 이질성 (Heterogenity of marker expression) 이란, 단일 세포에서 후성 유전학적인 변화가 생기거나, 유전자의 돌연변이가 발생하여 종양이 생기는 건데, 이때 종양 내 단일 세포의 모양, 유전체, 단백질체에 다양성이 나타나는 현상을 말해요.

종양 내 이질성은 높을수록 해당 종양을 치료하기 어렵답니다. 왜냐하면 종양 내에서 암을 유발하는 정확한 바이오 마커를 선별하기 어려워지기 때문에 암 진단 및 치료가 어려워지기 때문이죠😥

실험 결과에서 AMACR 에 비해 GOLPH2 의 종양 내 이질성이 더 낮으므로, 이 부분에 있어서는 더 효과적인 전립선암 바이오 마커로 쓰일 수 있겠네요!

 

🙌🏻따라서, 연구자들은 AMACR 과 GOLPH2를 함께 사용하면, 전립선암을 높은 확률로 탐지할 수 있다는 결론을 내릴 수 있었습니다.

 


🔏앞으로 연구가 더 진행되어야 하는 이유

 

  • result 4 에서도 잠깐 언급한 적 있지만, GOLPH2 의 정확한 기능과 조절 메커니즘이 아직 분명히 밝혀지지 않았기에 이에 관한 추가 연구가 필요해요!
  • result 3 에서 살펴본 것처럼, 높은 등급의 PIN, hyperplastic benign gland의 경우 모두 GOLPH2 upregulation 을 보이기에, 주위에 정상선이 없는 비정형적인 gland의 경우 전립선 악성 종양인지, 아닌지를 판단하기가 어려워요

 따라서, 암 변종 과 양성 암 모방체에서 GOLPH2 발현에 관한 추가 연구가 필요해요

 

🖊️작성자: 임다은 (lde030513@konkuk.ac.kr)

🌟밝히자, 바이오 세상🌟

👓참고자료

 

다음 글에서 만나요🖐🏻:)

 

 

다가올 뉴스레터가 궁금하신가요?

지금 구독해서 새로운 레터를 받아보세요

✉️

이번 뉴스레터 어떠셨나요?

Bi.markey 님에게 ☕️ 커피와 ✉️ 쪽지를 보내보세요!

댓글

의견을 남겨주세요

확인
의견이 있으신가요? 제일 먼저 댓글을 달아보세요 !
© 2025 Bi.markey

밝히자, 바이오 세상

메일리 로고

도움말 자주 묻는 질문 오류 및 기능 관련 제보

서비스 이용 문의admin@team.maily.so

메일리 사업자 정보

메일리 (대표자: 이한결) | 사업자번호: 717-47-00705 | 서울특별시 성동구 왕십리로10길 6, 11층 1109호

이용약관 | 개인정보처리방침 | 정기결제 이용약관 | 라이선스