20220714(목) 베트남 읽어보기

2022.07.15 | 조회 883 |
0
|
베트남 읽어보기의 프로필 이미지

베트남 읽어보기

Fact Check Viet nam 주베트남대사관, 베트남인, 뉴스사이트들도 구독하는 베트남 팩트체크 채널

매일 1회 #베트남현지최신이슈 를 #큐레이션 #요약 해드립니다.

첨부 이미지
첨부 이미지

*베트남 코로나19 신규감염, 7월14일은 932건입니다.

#주베트남한국대사관 특별안전공지 https://overseas.mofa.go.kr/vn-ko/brd/m_22871/list.do

#주호치민대한민국총영사관 생활/안전공지 https://overseas.mofa.go.kr/vn-hochiminh-ko/brd/m_4041/list.do

 

#주요뉴스 

https://soha.vn/xon-xao-clip-danh-ghen-ky-la-chong-quy-lay-khi-bat-gap-vo-om-nhan-tinh-ngoai-duong-20220714151057531.htm

Xôn xao clip 'đánh ghen' kỳ lạ: Chồng quỳ lạy khi bắt gặp vợ ôm nhân tình ngoài đường

이상한 '질투 폭행'영상 논란: 길에서 불륜남과 껴안고 있는 아내와 마주치자 절한 남편

14/07/2022 15:27

[베트남 사건사고?] 길에서 불륜남과 껴안고 있는 아내와 마주치자 절한 남편

막 SNS에 공유되는 영상은 불륜남과 함께 가고 있는 아내와 마주치자 남편이 한 행동으로 네티즌들을 논쟁하게 만들었습니다.

현재 이 영상이 어디서 찍혔는지는 확실하지 않지만 담장의 '새해 복 많이 받으세요'라는 사진으로 많은 사람들이 연초에 발생한 일이라 보고 있습니다.

*조작이라는 의심도 있어서 확실하진 않지만, SNS상에서 계속 회자되는 영상이라 소개합니다.

 

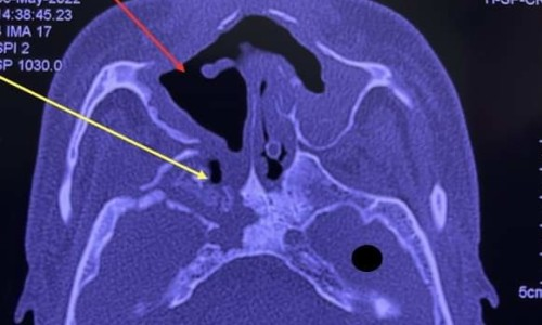
https://vnexpress.net/them-nhieu-nguoi-hoai-tu-xuong-ham-sau-mac-covid-4487327.html

첨부 이미지

14/7/2022, 05:00 (GMT+7)

Thêm nhiều người hoại tử xương hàm sau mắc Covid

코로나19 감염 후 턱뼈 괴사된 많은 사람 추가

(TP HCM) Bệnh viện Răng hàm mặt Trung ương TP HCM tiếp nhận 16 bệnh nhân, Bệnh viện Tai Mũi Họng điều trị 5 người hoại tử xương hàm, kể từ đầu năm đến nay.

(호치민 시) 호치민시 중앙 구강외과 병원은 연초부터 현재까지 16명의 턱뼈 괴사 환자를 받았고 이비인후과 병원은 5명을 치료했습니다.

7월13일 호치민시 중앙 구강외과 병원 구강수술과장 응우옌 반 뚼(Nguyễn Văn Tuấn) 의사는 턱뼈 괴사 환자 16명 중 3건이 두개골까지 퍼졌으며 관련 많은 전문 학과가 있는 처레이(Chợ Rẫy) 병원으로 이송하여 수술했다고 밝혔습니다.

나머지 13건은 괴사된 부분 제거 수술을 한 후 최소 3주간 항생제를 썼습니다. 6개월 관찰 후 상태가 안정되고 재발하지 않으면 환자는 턱뼈 재건할 것으로 예상됩니다. 뚼 의사는 "현재 환자들은 다 안정적이고 재발 징후는 아직 없습니다."라고 말했습니다.

뚼 의사에 따르면 턱의 괴사는 위턱뼈보다 영양 공급 혈관이 적기에 발생합니다. 이런 사례는 일반적으로 당뇨 환자와 관련있는데, 뼈에 영양을 공급하는 혈관에 영향을 주거나 면역을 감소시키고 박테리아와 곰팡이 공격에 취약하게 만들기 때문입니다.

처레이 병원에서는 이들 환자의 골괴사 원인을 아직 규명하지 못했지만, 코로나19에 감염되었으며, 이비인후과 질환이나 턱관절 질환 병력이 없다는 공통점이 있습니다.

호치민시 보건부 땅 치 트엉(Tăng Chí Thượng) 국장은 이를 '새로운 문제'라 말하며 병원에 사례를 조사하고 통합할 것을 요청했습니다.

의사들은 현재까지 최근 골괴사의 증가가 코로나19와 관련 있는지 확정할 수는 없다고 합니다.

2021년 5월부터 올해 5월까지 주로 인도, 중국, 많은 아시아 국가와 일부 유럽과 미국에서 두개골 및 안면 뼈의 골괴사 환자에 대한 약 80건의 보고가 기록되어 있습니다. 델타 변이 발생 시 당뇨 환자 대부분이 코로나19에 감염되었습니다.

*의학적으로 단정은 못해도, 코로나19로 약해진 몸에 걸리기 쉬운 증상으로 유추하는 것 같습니다.

확률적으로 그렇게 높은 건 아닌데, 이렇게 공개하는 이유에는 접종률을 높이려는 의도도 있긴 하겠죠. BA5변이 보도 이후 접종자가 늘었다는 걸 보면.

베댓은 '이 추측이 안 맞아서 코로나19 감염된 친척들이 당황하지 않기를 바랍니다'

'지금 코로나19 감염률이 높아서 이게 코로나19 감염 증후군이라 할 수 없습니다'라며 부정하고 싶어하는 편입니다. 일단 코로나19 걸리지 않게 조심하는 수밖에 없네요...

 

#북부 #하노이 시 thành phố Hà Nội

https://saostar.vn/am-thuc-mua-sam/khach-dang-dan-to-nha-hang-haidilao-tai-vincom-ocean-park-202207131530353843.html

13/07/2022 - 15:30 GMT+7

Xôn xao nhà hàng Haidilao tại Vincom Ocean Park bị bóc mẽ món thịt dê tươi 3 phút 'tự tan biến thành súp'

하노이 하이디라오, 3분만에 녹아 국물이 된 염소고기 폭로돼 논란

[베트남 사건사고] 하노이 하이디라오, 3분만에 녹아 국물이 된 염소고기 폭로돼 논란

Nhà hàng Haidilao tại Vincom Ocean Park bị đăng đàn 'tố' 2 phần thịt dê đã tự 'tan biến' thành súp, sau 3-5 phút trong nồi lẩu, không còn nhiều dấu vết.

하노이 #하이디라오빈홈오션파크점 은 염소고기 두 접시가 탕 속에서 3~5분 후 많이 안 남고 '녹아' 국물이 되었다고 구설수에 올랐습니다.

 

#중부 #꽝빈 성 tỉnh Quảng Bình

 https://zingnews.vn/nguoi-phu-nu-lien-tiep-de-con-de-tron-an-phat-tu-post1334522.html

Người phụ nữ liên tiếp đẻ con để trốn án phạt tù

징역 회피하려 계속 출산한 여성

14/7/2022 23:25 (GMT+7)

Sau khi bị tòa án phạt 9 năm tù về tội mua bán trái phép ma túy, Tuyết liên tục sinh 4 đứa con để trốn thi hành hình phạt tù và tiếp tục giao dịch chất cấm.

불법마약 거래로 법원에서 9년형을 선고받은 뚜옛은 형 집행을 피하고 계속 약거래를 하기 위해 네명의 아이를 연속으로 낳았습니다.

첨부 이미지

6월30일 응우옌 티 아잉 뚜옛(Nguyễn Thị Ánh Tuyết, 1982년 생, 바돈Ba Đồn티사 바돈동 거주)는 2021년과 2005년 생 두 아이를 구매자에게 마약 배달하도록 시켰습니다. 적발 과정에서 관할부대는 뚜옛이 마약을 담는 데 쓴 플라스틱 파이프 2개와 60만동을 압수했습니다.

그녀의 거주지를 긴급 수색한 바돈티사 공안은 합성마약 773정을 압수했습니다. 그리고 그녀를 구금했지만 불과 며칠만에 일곱 번째 아이를 낳았습니다.

(9년형) 선고 당시 뚜옛은 임신 약 3개월 정도였습니다. 2017년 11월 트어티엔-훼 성 빈디엔 교도소에서 수감생활을 하던 중 출산을 했습니다. 그녀는 자녀양육을 위해 형 집행을 연기할 수 있었습니다.

돌아온 뚜옛은 형집행을 피하기 위해 계속 출산하며 대응했습니다.

2018년 뚜옛은 다섯번째  아이를 낳았습니다.(이전 4명의 자녀가 있었음) 2020년 6번째 아이를 낳았고 일주일 전에 7번째 아이를 연속으로 낳았습니다.

뚜옛 부부는 몇년 전에 갈라섰습니다. 공안기관에서 뚜옛은 양육기관이 끝나기까지 다시 임신할 방법을 찾았다고 밝혔습니다.

*출생으로 교도소를 피한다는 발상도 끔찍하지만, 그렇게 낳은 아이를 자기가 잡히지 않으려고 마약운반상으로 만들었다는 건 더욱 끔찍하네요... 무슨 말을 해야 할지 모르겠습니다.

 

#중부 #응에안 성 tỉnh Nghệ An

#뚜오이쩨 Tuổi Trẻ 가장많이본기사 4위

https://tuoitre.vn/10-nguoi-bi-bat-vu-bat-giu-1-can-bo-cong-an-lam-5-chien-si-bi-thuong-20220713202422351.htm

10 người bị bắt vụ bắt giữ 1 cán bộ công an, làm 5 chiến sĩ bị thương

공안간부 1명 감금, 병사 5명 부상입힌 사건, 10명 체포돼

13/07/2022 21:11 GMT+7

Quá trình bảo vệ thi công đóng con đường cũ chạy trong khu công nghiệp, 5 cán bộ chiến sĩ công an tại Nghệ An bị thương do bị một số người quá khích tấn công.

공단 내 구 도로 폐쇄 시공 보호 과정에서 일부 과격한 사람들의 공격을 받아서 응에안 성의 공안 병사와 간부 5명이 부상당했습니다.

첨부 이미지

2017년 5월 응에안 WHA 공업단지 1(WHA Industrial Zone 1)프로젝트는 총 148펙타르의 1단계 면적을 총리 승인 받았습니다.

공단을 가로지르는 구도로(길이 520m)를 폐쇄하고 길이 740m, 폭 6.5m, 보도 너비 1m, 조명과 가로수가 있는 콘크리트 대체도로(RN1) 건설 요청에 동의했습니다.

현재 신 도로 RN1이 완공되어 사용 중입니다.

그러나 일부 과격한 사람들이 구 도로 수용을 저지하고 수용 못하게 하고 있습니다.정해진 일정에 따라 7월 13일 오전 응힐록(Nghi Lộc)현 인민위원회와 WHA기업은 프로젝트 건설을 계속했습니다.  그러나 건설 중 빈퉌(Bình Thuận)촌에서 약 300명이 항의 및 건설방해를 위해 왔습니다.

"응힐록 현 관할 부대와 경비대가 선전과 설명을 했지만, 일부 과격한 사람들은 사람들을 도발, 선동하여 벽돌, 돌, 병, 막대기(그 중에는 화염병도 있음)로 공격, 공안 간부 1명을 붙잡고 5명의 공안간부를 부상입혔습니다."라고 응에안 성 공안이 말했습니다.

관할 부대는 시위대 10명을 검거하고 현장 조사 및 관련 증거를 압류했습니다.

*베트남에서 토지 수용은 돈이 걸리기도 해서 공안과 주민이 과격한 전쟁을 벌이는 일이 종종 있었습니다. 예전엔 말 그대로 전쟁도 했었고.. 굉장히 민감한 문제인데, 뚜오이쩨 보도만으로는 상대편 입장이 나오질 않네요.

댓글은 '구도로와 신도로는 사진처럼 별 차이 없겠죠?'라며 비꼬거나 '국민과 대화하고 적절한 보상이 있었습니까?'라고 묻는데, 아마도 보상 문제겠지요.

물론 '뭐하는 짓인지, 공안을 붙잡고 다치게 하면 안된다. 무법자들'이란 댓글도 있네요.

 

#남부 #호치민 시 thành phố Hồ Chí Minh

https://vnexpress.net/ket-xe-keo-dai-tai-xe-cho-gan-2-tieng-qua-cau-phu-my-4487759.html

14/7/2022, 19:08 (GMT+7)

Kẹt xe kéo dài, tài xế chờ gần 2 tiếng qua cầu Phú Mỹ

긴 교통 체증으로 푸미교 건너기 위해 운전자 2시간 가까이 기다려

(TP HCM) Một phần cầu Phú Mỹ qua quận 7 sửa khe co giãn khiến ôtô ùn ứ cả ngày, tài xế chờ gần hai giờ để qua cầu.

(호치민시) 7군을 가로지르는 푸미 교 일부 일부 신축이음을 수리하여 하루 종일 차량 정체되고 운전자가 다리를 건너려 2시간 가까이 기다리게 만들었습니다.

첨부 이미지

현재 거의 2주간 푸미교의 7군에서 투득시 가는 방향차선이 신축이음 수리를 위해 바리케이트를 쳐서 장기간 차량 정체를 야기했습니다. 교통 경찰 등 20여 명이 종일 통과 차량을 통제 중입니다.

첨부 이미지

푸미 교의 두 신축이음(온도 변화시 교량 콘크리트 표면 균열방지를 도움)는 망가진 지 2년 되었습니다. 수리 기간은 3개월로 예상되며 총 비용은 210억여 동입니다.

베댓은 "철도 운송하면 도로의 부담이 완화됩니다. 컨테이너 열차는 도로의 수백대 컨테이너 트럭을 대체하고 부지 면적도 도로보다 적습니다"라며 철도 운송을 추천하네요.

 

 

해당 내용은 하기 SNS에서도 확인가능합니다.

#카톡(kakaotalk) 속보및질문 오픈채팅방 https://open.kakao.com/o/glygFyqc (8~18시사이 입장가능)

#유튜브(Youtube) https://www.youtube.com/channel/UC_hZoo42GvaIcaLHdkkXBBw

#트위터(twitter) https://twitter.com/ko_vietnews

#페이스북(facebook) www.facebook.com/kovietnews

#인스타그램(Instagram) https://www.instagram.com/ko_vietnews

도 공감/좋아요와 구독 부탁드립니다.

maily.so/kovietnews <-#메일리뉴스레터 (구독시 이메일 발송+연1만원유료회원 주1회 비지니스레터 추가발송)

 

월천이백원 유료회원의 멤버쉽구독으로 후원해주시는 분들께 주 2회 이상 베트남 부동산/기업 뉴스를 추가 발송합니다. 

해당 내용은 하기 SNS에서도 확인가능합니다.(베트남관련 엉터리 뉴스가 많아 원문링크와 그림내용은 보존합니다)

기사원문에 환산액이 미기재된 경우, 참고환율 'KRW 1원=VND 20 베트남 동'.

네이버블로그(Naver blog) https://blog.naver.com/factcheckvietnam

유튜브(Youtube) https://www.youtube.com/channel/UC_hZoo42GvaIcaLHdkkXBBw

틱톡(TikTok) https://www.tiktok.com/@factcheck_vietnam트위터(twitter) https://twitter.com/ko_vietnews

페이스북(facebook) www.facebook.com/kovietnews인스타그램(Instagram) https://www.instagram.com/ko_vietnews도 공감/좋아요와 구독 부탁드립니다.

다가올 뉴스레터가 궁금하신가요?

지금 구독해서 새로운 레터를 받아보세요

✉️

이번 뉴스레터 어떠셨나요?

베트남 읽어보기 님에게 ☕️ 커피와 ✉️ 쪽지를 보내보세요!

댓글

의견을 남겨주세요

확인
의견이 있으신가요? 제일 먼저 댓글을 달아보세요 !
© 2026 베트남 읽어보기

Fact Check Viet nam 주베트남대사관, 베트남인, 뉴스사이트들도 구독하는 베트남 팩트체크 채널

메일리 로고

도움말 자주 묻는 질문 오류 및 기능 관련 제보

서비스 이용 문의admin@team.maily.so 채팅으로 문의하기

메일리 사업자 정보

메일리 (대표자: 이한결) | 사업자번호: 717-47-00705 | 서울특별시 송파구 위례광장로 199, 5층 501-8호

이용약관 | 개인정보처리방침 | 정기결제 이용약관 | 라이선스